Diagnostic Services

  • Home
  • Diagnostic Services

(IOP) Measurement

Intraocular pressure (IOP) is an important measurement that needs to be taken during ophthalmic examinations, especially in ocular hypertension subjects, glaucoma patients and in patients with risk factors for developing glaucoma. The gold standard technique in measuring IOP is still Goldmann applanation tonometry (GAT); however, this procedure requires local anesthetics, can be difficult in patients with scarce compliance, surgical patients and children, and is influenced by several corneal parameters. Numerous tonometers have been proposed in the past to address the problems related to GAT. The authors review the various devices currently in use for the measurement of intraocular pressure (IOP), highlighting the main advantages and limits of the various tools. The continuous monitoring of IOP, which is still under evaluation, will be an important step for a more complete and reliable management of patients affected by glaucoma.

NCT

Non-contact tonometry (NCT) is a common method used to measure intraocular pressure (IOP), which is the pressure inside the eye. This is an important measurement for assessing the health of the eye and detecting conditions such as glaucoma.

A tonometry test measures the pressure inside your eye, which is called intraocular pressure (IOP). This test is used to check for glaucoma, an eye disease that can cause blindness by damaging the nerve in the back of the eye (optic nerve).

Overall, NCT is a useful tool for measuring IOP as part of an eye service. It is quick, non-invasive, and does not require any physical contact with the eye. However, it is important to consider the limitations of the measurement and interpret it in conjunction with other clinical findings.

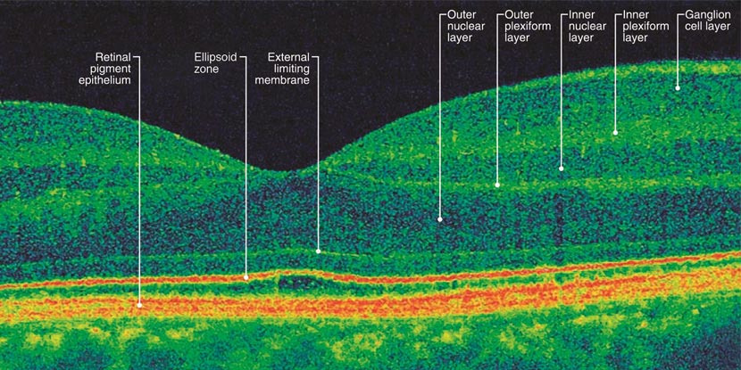
OCT

Optical coherence tomography, or OCT, is an imaging method used to generate a picture of the back of your eye, called your retina. The noninvasive method produces an image by measuring the amount of a dim red light that reflects off of your retina and optic nerve. Optical coherence tomography can measure the thickness of your retina and optic nerve.

Healthcare providers of heart and vascular medicine use optical coherence tomography for cardiac catheterization to produce images of your blood vessels. Healthcare providers in the dentistry, gastroenterology, pulmonology, dermatology and oncology fields are also using OCT imaging more often.

Applanation Tonometry

Applanation tonometry is a method of measuring intraocular pressure (IOP), which is the pressure inside the eye. This is an important measurement for assessing the health of the eye and detecting conditions such as glaucoma.

Here are some key points to consider when using applanation tonometry:
  • Equipment
  • Procedure
  • Corneal Compensation
  • Interpretation
  • Limitations

Fluorescein Angiography

Fluorescein Angiography (FA) is a diagnostic procedure that uses a special camera to record the blood flow in the RETINA – the light sensitive tissue at the back of the eye.

The test does not involve any direct contact with the eyes. Your eyes will be dilated before the procedure.

Fluorescein dye is injected into a vein in the arm/hand. As dye passes through the blood vessels of your eye, photographs are taken to record the blood flow in your retina. The photographs can reveal abnormal blood vessels or damage to the lining underneath the retina.

The images will be captured in black and white. The dye will fluoresce in the blood vessels and be recorded as light grey or white in the image. Interpretation of the abnormal angiogram relies on the identification of areas that exhibit hypofluorescence (darkness) or hyperfluorescence (brightness).

Fluorescein angiograms are often recommended to follow the course of a disease and to monitor treatment results. It is particularly useful in the management of diabetic retinopathy and macular degeneration.

ultrasound

An eye and orbit ultrasound is a test to look at the eye area. It also measures the size and structures of the eye.

The test is most often done in the ophthalmologist's office or the ophthalmology department of a hospital or clinic.

Your eye is numbed with medicine (anesthetic drops). The ultrasound wand (transducer) is placed against the front surface of the eye.

The ultrasound uses high-frequency sound waves that travel through the eye. Reflections (echoes) of the sound waves form a picture of the structure of the eye. The test takes about 15 minutes.

Your eye is numbed, so you should not have any discomfort. You may be asked to look in different directions to improve the ultrasound image or so it can view different areas of your eye.

Glaucoma Ddiagnosis

Glaucoma is usually picked up during a routine eye test, often before it causes any noticeable symptoms. Other tests are usually needed afterwards to diagnose and monitor the condition.

It's important to have regular eye tests so problems such as glaucoma can be diagnosed and treated as early as possible. Early treatment can help stop your vision becoming severely affected.

You should have an eye test at least every 2 years. If you're at a higher risk of glaucoma – for example, if you have a close relative with it – you may be advised to have more frequent tests.